Μετάβαση στο περιεχόμενο
Αρχική σελίδα
Ο Γιατρός
Υπηρεσίες
Περιστατικά
Κλείστε ραντεβού
Πολιτική απορρήτου
Πολιτική Cookies
Αναζήτηση για:
Ώρες λειτουργίας
Δευτέρα - Παρασκευή
10:00 - 13:00 & 18:00 - 22:00
Loading...
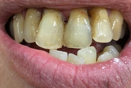
Περιστατικά στο Οδοντιατρείο μας.
Καθημερινά αντιμετωπίζουμε περιστατικά τα οποία φέρνουμε εις πέρας, και δίνουμε λύσεις και χαμόγελα σε όλους μας τους ασθενείς.
Περιστατικά
leveltgp
2019-05-30T16:13:07+00:00
Φωτογραφικό υλικό από περιστατικά στο Οδοντιατρείο μας.
Στεφάνες μεταλλοπορσελάνης Α1!!!.
Έτοιμοι για το νέο σας χαμόγελο;
Κλείστε το ραντεβού σας
Page load link
Go to Top